KÖPEKLERDE DİŞ TEMİZLİĞİ

KÖPEKLERDE DİŞ TEMİZLİĞİ

Temel görevi gıdaları almak ve küçük parçalara ayırarak sindirim sistemine göndermek olan ağızın en önemli parçası dişlerdir,dişler sadece yemek için değil köpeklerin bir nesneyi tanıması,taşıması ve bazı av köpek türlerinin de görevlerini yerine getirmesi için baş aktördür.

Doğumdan sonra birkaç hafta içerisinde süt dişler çıkar.Süt dişleri geçicidir ve 28 adettir.Bunlar zaman içinde düşerler ve yerlerine kalıcı dişler çıkar.Kalıcı dişler 7 aylık ike tamamlanır ve 42 adettir.

Diş değiştirme dönemlerinde ağrılar ,kısa süreli sancılar olabilir bu da hayvanın doğal davranışlarını değiştirebilir kısa süreliğine.Yemek yiyememe huysuzluk gibi belirtileri olabilir.Bu dönemlerde hayvanların ağızları sık sık kontrol edilmelidir. Köpeğinizin ağız kontrollerinde sorun çıkartmaması için hayvan on haftalık olduğunda diş etlerine masajlar yapabilirsiniz.
Böyle zamanlarda köpeklerde kemirme gibi eğilimler artabilir,bunun nedeni küçük sancılara bağlı olarak meydana gelen kaşıntılardır,bu dönemde köpeklere kemirmeleri için oyuncaklar ,kemirme ipleri verilmelidir.

Altı ayı geçmesine rağmen süt dişleri düşmemiş ise hekiminize götürmeniz ileride doğacak diş bozukluklarını önlemeniz açısından büyük önem taşır.

Temel Diş Sorunları:

Düşmemiş Süt Dişi :

Özellikle süt dişleri düşmez ve kalıcı dişlerin pozisyonunu bozarlar.Bunların 6 aydan sonra çekilmeleri gerekir.

Diş Çürüğü :

İnsandakine göre daha az sorun olmaktadır.Zaman zaman azı dişlerinde görülür.Özellikle fazla çikolata yiyen köpeklerin sorunudur.Dişin restoratif tedavisi gerekir.

Kırık Diş :

Kavga,kaza ve sert cisimleri ısırma sonucu diş kırılabilir.Bu durumda kırığın ulaştığı seviye göz önünde bulundurularak diş dolgusu ya da kanal tedavisi yapılır.

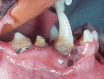
Tartar=Diştaşı :

Kahverengi bakteri ve tuz birikimidir.Dişin çürümesine neden olabileceğinden veteriner hekimce temizlenmesi gerekir.

GÜNLÜK BAKIM

Günlük olarak dişlerin temizliği yapılmalıdır.Bu dişlerin temizliğine yardımcı olacak gıdaların (örn.,preskemik) verilmesiyle de kolayca yapılabilir.Ayrıca piyasada satılan kuru mamalar da yararlıdır.Yaşlı hayvanlarda bunun yanı sıra dişlerin haftada 2 defa temizlenmesi yararlıdır.Parmağa takılan diş fırçaları ve yutulabilir nitelikte diş pastaları (macunları) bu iş için uygundur.

http://www.dreamstime.com/-image23515855

Bir yanıt yazın